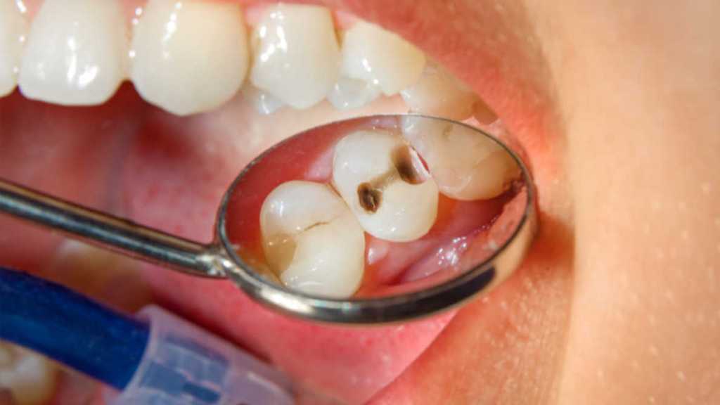
खाना खाइसकेपछि राम्रोसँग सफा नगर्दा दाँतमा किरा लाग्ने समस्या हुन्छ। चिकित्सकीय भाषामा यो समस्यालाई दन्त…