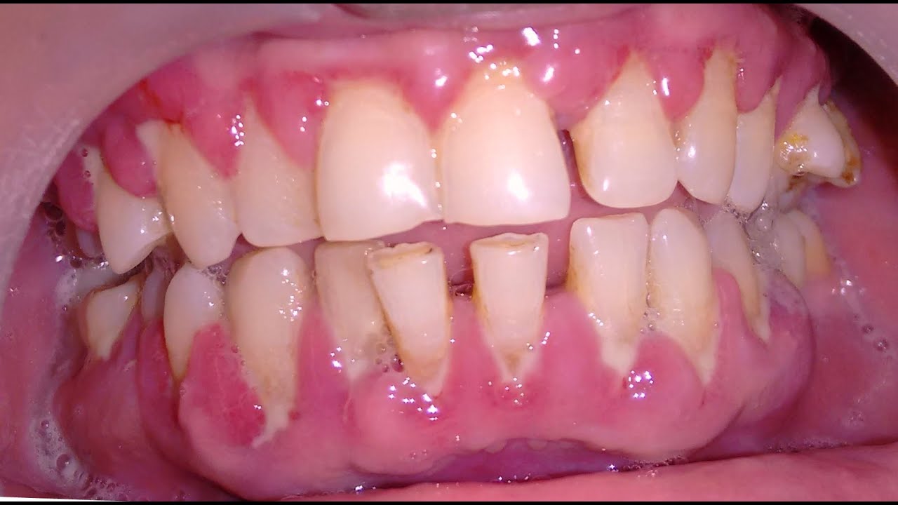
दाँतमा देखिने समस्याहरुमा रगत बग्ने, सास गन्हाउने लगायतका समस्या रहने गरेका छन् । यस्तो हुनुको पछाडी पाइरिया पनि एक कारण रहेको छ । पाइरिया दाँतको उचित रेखदेख नगरेमा हुने सम्भावना रहन्छ । तसर्थ दाँतको राम्ररी सरसफाई तथा हेरचाह गर्न आवश्यक रहन्छ ।
पाइरिया हुनुमा क्याल्सियमको कमी, गिजाको खराबी तथा दाँत तथा मुखको खराबी रहने गरेको छ । पायरिया हुदाँ दाँतलाई सर्पोट गर्ने गिजाको हड्डीमा समस्या उत्पन्न हुन्छ । र बिस्तारै दाँतको गिजा पहेलो तथा खराब हुन थाल्दछ र त्यसबाट रगत आउँछ । त्यसबाहेक, कलेजोको खराबीका कारण पनि रगतमा अम्लियपन बढ्न थाल्छ ।
दुषित रक्त र अम्लियपनाका कारण पनि दाँत पायरियाबाट प्रभावित हुन्छ । यस अलावा पान, सुपारी लगायतका सुर्तीजन्य पदार्थको सेवनका कारण पनि पायरिया हुने गर्दछ ।
लक्षण
– सासबाट दुर्गन्ध आउनु थाल्दछ ।
– गिजा सुन्निन थाल्नु ।
– दात कमजोर भई हल्लिनु ।
– तातो वा चिसो खादाँ दाँत सिरिङ्ग हुनु ।
– छुँदा मात्र पनि गिजा सुन्निनु ।
बच्ने उपाय
पाइरिया वा दाँतको खराबीबाट बच्न खाना खाएपछि दैनिक दुई पटक ब्रस गर्न आवश्यक छ । ब्रस गर्दा दाँतको कुनाकाप्चाको राम्ररी सरसफाई गर्नु पर्दछ । दाँत सफा गर्ने ब्रस नरम हुनु पर्दछ । राती सुत्नु अगावै अनिवार्य दातको राम्ररी सफाई गर्नु पर्दछ । हरेक पटकको खाजा वा खानापछि मुख राम्ररी कुला गर्नु पर्दछ ।
यो खबर पढेर तपाईलाई कस्तो महसुस भयो ?


प्रतिक्रिया