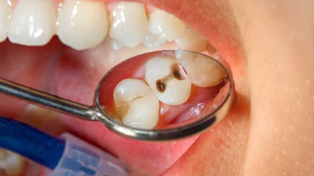
काठमाडौँ – काठमाडौँ उपत्यकाभित्र गरिएको अनुसन्धानमा ७३ प्रतिशत बालबालिकाको दाँत किराले खाने समस्या देखिएको पाइएको छ । कान्तिपुर डेन्टल कलेज शिक्षण अस्पताल तथा अनुसन्धान केन्द्रले गरेको ६८ वटा विद्यालयमा गरेको अनुसन्धानका क्रममा ७३ प्रतिशत बालबालिकामा दाँत किराले खाने समस्या देखिएको पाइएको हो ।
विश्व मुख स्वास्थ्य दिवसको पूर्वसन्ध्यानमा आज कान्तिपुर डेन्टल कलेज शिक्षण अस्पतालले पत्रकार सम्मेलन आयोजना गरी पछिल्लो समय नेपालका बालबालिकामा दाँत किराले खाने अत्यधिक रहेको बताएको छ ।
पत्रकार सम्मेलनमा अस्पतालका प्रमुख कार्यकारी निर्देशक डा बुद्धिमान श्रेष्ठले बालबालिकाले राम्रोसँग ब्रस नगर्ने, बजारमा पाइने तयारी खाना खाने, चक्लेट, विष्कुटलगायत गुलियो खानेकुरा खाँदा अधिकांश बालबालिकाको दाँत किराले खाने समस्या देखिएको बताए ।
अस्पतालले बिएम फाउन्डेसन र रोटरी क्लब अफ काठमाडौँ नर्थसँगको सहकार्यमा उपत्यकाभित्रका ६८ विद्यालयमा अध्ययन गरेको थियो । कूल २४ हजार एक सय ५४ विद्यार्थीसँग गरेको अनुसन्धानका क्रममा ७३ प्रतिशत बालबालिकामा दाँत किराले खाने समस्या देखिएको हो ।
अस्पतालले विभिन्न समुदायमा गएर गरेको दन्त शिविरका क्रममा वयस्कहरुमा ४५ प्रतिशत गिजाको समस्या पाइएको डा श्रेष्ठले बताउनुभयो । हालसालै उक्त अस्पतालले झापा, स्याङ्जा, काभ्रेपलाञ्चोक, कैलाली, सिन्धुली र नुवाकोटमा दन्तशि विर सञ्चालन गरेको थियो ।
तीनदिने निःशुल्क दन्त परीक्षण गरिने
कान्तिपुर डेन्टल कलेज शिक्षण अस्पताल तथा अनुसन्धान केन्द्रले विश्व मुख स्वास्थ्य दिवसका अवसरमा बुधबारदेखि शुक्रबारसम्म तीन दिने निःशुल्क दन्त परीक्षण गर्ने भएको छ ।
अस्पतालले सामाजिक उत्तरदायित्व कार्यक्रमअन्तर्गत मार्च २० अर्थात् विश्व मुख स्वास्थ्य दिवसका अवसरमा निःशुल्क दन्त परीक्षण गर्न लागेको हो । यस्तै, विश्व मुख स्वास्थ्य दिवसका अवसरमा सो अस्पतालले भोलि जनचेतनामूलक ¥याली आयोजना गर्ने, निबन्ध प्रतियोगिता र कला प्रतियोगिता आयोजना गर्ने भएको हो ।
यो खबर पढेर तपाईलाई कस्तो महसुस भयो ?


प्रतिक्रिया